A New Technique to Treat 'Gummy Smile and Discolored Gums' Simultaneously Developed by Dr. Alex Farnoosh, Cosmetic Dentist and Periodontist in Beverly Hills

The Total Smile

Dr. Farnoosh is a world-renowned cosmetic dentist and periodontist in Beverly Hills who has numerous publications. Dr. Farnoosh believes that in order to create a pleasant smile, we must evaluate and access “THE TOTAL SMILE” and treat all three elements required to have an attractive smile.

A. Pleasant looking and healthy gums

B. Beautiful teeth

C. Properly positioning of the upper lip.

When these three elements joined together in an appropriate ratio or proportion, it creates an attractive smile.

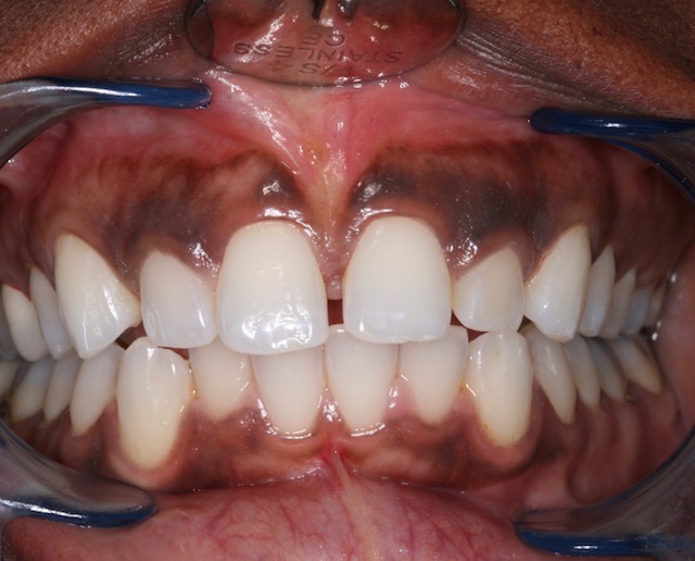
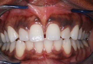
In a perfect smile, the upper lip sets just above the top of the teeth. A “Gummy Smile”, however, exposes a larger than average amount of gum tissue and has a noticeably disproportion gum to tooth ratio. Furthermore, if the gums are discolored with brown or dark pigmentation, gummy smile poses even more negative impact on facial esthetics and make a smile very unattractive.

Dr. Farnoosh started treating gummy smile many years ago and subsequently developed a surgical method called “Lip Lowering” to minimize excessive display of gum tissue. (Fig1).

He has also invented a technique for treatment of gum discoloration known as “Gum Bleaching” which was published in a peer review International Dental Journal (Fig2). In the past, “Lip Lowering” to treat gummy smile and gum bleaching to treat discolored gums are done in two separate phases with a time interval between two treatments. Recently, Dr. Farnoosh developed a new treatment method in which both procedures for Gummy Smile and Gum Bleaching can be done at the same time. (Fig3)

This treatment method therefore eliminates:

1. The need for two treatments.

2. Waiting time between two treatments.

3. Inconvenience for the patient having two surgeries.

He has been using the new method of treatment successfully on a number of patients who required both treatments.

For more information, or to make a press inquiry, contact Dr. Farnoosh's office at (310) 657-0503.

Source: The Total Smile

Share:


Tags: Beverly Hills Dentist, Cosmetic Dentist, Cosmetic Dentistry, Discolored Gums, Dr. Alex Farnoosh, Gummy Smile


Related Video

Additional Images

About Website Depot Inc.

View Website or Media Room

Website Depot Inc. is a full-service tech firm based in Los Angeles specializing in web development and marketing. The company services a diverse and distinguished client list through various industries, business sizes and geographical locations.

Ezekiel Hernandez
Communications Director, Website Depot Inc.
Website Depot Inc.
4343 W. Sunset Blvd. (201)
Los Angeles, CA 90029
United States