Can Anyone Fix My Child's Sleep Issues? Answers NY and NJ Lecture Series on April 21-23

Books are written, costs and consequences estimated, studies conducted, sleep clinics popping up and doctors labeling, but I want better for my child, do we have an answer please? The answer is HealthyStart™️

HealthyStart™ by OrthoTain™️ Lecture & Family Clinical on April 21-23

APRIL 21 and APRIL 22:
Treating
Sleep Disordered Breathing and Straightening Teeth without Braces
Dentist, Orthodontist and Staff Lecture
Thursday, Friday 8:30-4:30pm

APRIL 23:
Parent Information & Patient Clinical Saturday (Bring your child)

Saturday 9:00am to 1:00pm
Development Institute
1060 Main Street, Suite 201
River Edge, NJ 07661

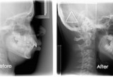
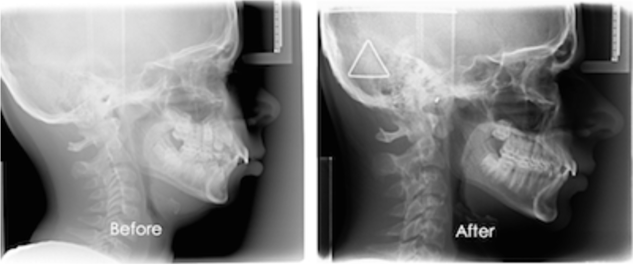
What every Parent Should Know About Sleep Disordered Breathing and how it relates to Bed-Wetting, Mouth Breathing, Snoring, Chronic Allergies, Academic Challenges, Behavioral Concerns and even Limited Growth and Development.  Some symptoms may look so much like ADD and ADHD that parents are mistakenly guided towards medications instead of permanently correcting the problem in the growth stage of their child’s early life from about age 2-12.  

This is a story of Prevention, Non-Pharmaceutical, Pain Free and a Passive Correction in the early years to avoid lifelong serious health conditions and the crooked teeth that send teens into braces only to relapse repeatedly while never correcting the airway related symptoms that underlie the crowded teeth as just one more symptom of SDB.

HealthyStart™️ 1-844-Kid-Healthy is a movement, the link that orthodontists and dentists have always needed to treat the 9 out of 10 children with some degree of SDB symptoms. 

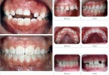
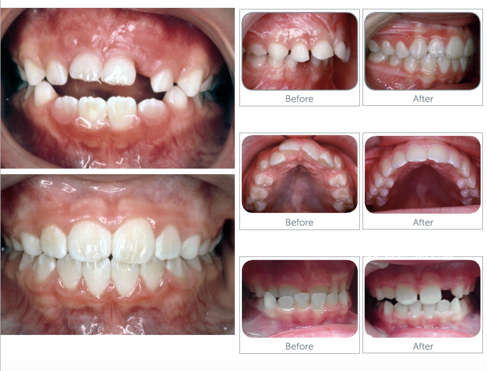
HealthyStart™️ corrects the tongue position and breathing habits while passively treating malocclusions to effect the appearance of the child’s face and smile.  Treating early allows the HealthyStart™️ treatment to permanently correct these conditions rather than the band-aid remedies millions of adults are left with as their only recourse.

HealthyStart™️ is a division of a longstanding orthodontic parent company, Ortho-Tain, possesses 511 US and International Patents, FDA Approval for these advanced orthodontic appliances which are Silicone Free, Latex Free, Phthalate Free, and PBA Free.  Over 3 million cases treated around the world.   Inventor and founder, Dr. Earl Bergersen, DDS, MSD, ABO, has a tested solution for parents needing to know their options to protect their children from becoming another generation suffering with sleep related maladies. 

Children can accomplish most of this at night while sleeping by wearing the soft mouth appliance to correct their tongue position and stop snoring, stop mouth breathing, stop bed-wetting, stop restricting their airway and stop many of the symptoms that can confuse even the most experienced professionals in the appearance of ADD/ADHD.  The appliance guides the jaw and arches to its’ intended size and position so that the teeth erupt in place for a beautiful and healthy smile.  This permanent solution prevents relapse when started in the younger growth years of the child’s life. 

Call today for more information and to find a HealthyStart™️ provider at TheHealthyStart.com  or 1-844-Kid-Healthy

Contact: Leslie Stevens 847-921-2982

About Dr. Jill Ombrello

Dr. Jill Ombrello will lecture in New York this week.  Dr. Ombrello, CentralDentist.com,  is a 4th. Generation Dentist, member of the US Dental Institute, Lectures on HealthyStart™️ as a Premier Provider in Dallas Texas. 

Dr. Ombrello and CEO Leslie Stevens will be in New York this week and are available for interviews, please call 847-921-2982

Source: HealthyStart™️

Share:


Tags: Dentists, HealthyStart™, New Jersey, NJ, Orthodontists, River Edge, Sleep Deprivation, Sleep Disorder Breathing


Additional Images

About The HealthyStart

View Website

Healthy Start is a progressive system that improves the health and well being of children by addressing the root cause of Sleep Disorder Breathing symptoms such as ADD/ADHD, bedwetting, snoring, hyperactivity, allergies, asthma, etc

Kathie Turner
Press Contact, The HealthyStart