Childrens' Dental Health Month: "Face It - Children are Growing-into-Problems and not Out-of-Them"

It is a Growth and Development consequence to Sleep Disorder Breathing that can even change the appearance of our children.

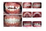
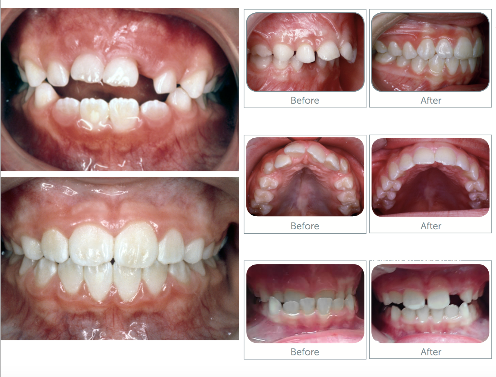
​​This IS a serious trend where oral habits like mouth breathing are accompanying 9 out of 10 children for life and leading to permanent health issues.  These habits can and do produce arrested or altered growth, crooked teeth, snoring, bedwetting, ADD ADHD type behavior and may even affect the profile of their face.

But doctors like Dr. Anthony Marino, DDS, MS, of Magic Braces in Vackaville CA. say, “that in 30 years of treating with the HealthyStart™ advanced removable orthodontic and orthopedic appliances, we are taking children away from the problems they are growing into.” 

This safe, non-pharmaceutical approach with a permanent and comprehensive solution in an FDA Approved treatment has been used in over 3 million cases around the world.

CEO Leslie Stevens states, “It is an EARLY Childhood Treatment, avoiding years of damage that could be only marginally corrected later in life.  We like to start even in the toddler years and before they reach puberty, to give children every advantage and help them reach their greatest potential.”

The science and research connecting an airway centric, nasal breathing habit to the sleep connection, has moved more MD’s to work with the pediatric and general dentists or orthodontists who screen for Obstructive Sleep Apnea.  Providing this all natural approach and well researched treatment is now becoming the Standard of Care for the children with outward symptoms of SDB.  The HealthyStart™ protocol is now included in dental schools internationally and into large medical groups and hospitals by adding the treatment to the curriculum and clinical programs.

For parents, it may start in conversation with their pediatrician, discussing concerns with childhood bed-wetting, physical appearances, aggressive behavior, snoring, night terrors, allergies, arrested growth or the tooth decay, inflamed tonsils and adenoids that come with mouth breathing.  The crooked, crowded teeth and grinding may seem like a closer dental fit- but as it turns out – they are all tied together.  It is a Growth and Development problem.

As CFO Jessica Fields of Complete Health Dentistry, Lebanon Ohio puts it, “We have a serious Medical Problem with a Dental Solution.”

The key is, don’t wait to find a provider.  TheHealthyStart.com  844-Kid-Healthy

Parents in Richmond Virginia are invited to bring their 2 to 12 yr. old children for a free screening tomorrow, Feb. 11th. 2pm - 4:30pm. They will be seen by a certified HealthyStart™ doctor to evaluate their fit for this treatment.  Call 844-Kid-Healthy to reserve an appointment for your child!

FEBRUARY 10rd & 11th:

TheHealthyStart.com (CE Credits)

The Westin Richmond
6631 West Broad Street
Richmond, Virginia 23230

Seminar - Lecture 
Friday 2-10 -17  
From 8:30am to 4:30pm

Lecture and Patient Clinical
Saturday 2-11-17
From 8:30am to 2:00pm (Lecture)

PATIENT Clinical from 2:00pm until 4:30pm (ages 2- 12yrs)

Call 844-Kid-Healthy to bring your child in Saturday for a Free Screening and Evaluation

VIDEOS:

A Parents Overview of Sleep Disordered Breathing and the HealthyStart™ Treatment. (Learning to spot the symptoms/traits of SDB in children)
https://youtu.be/Bk4gYOUVS8w

Dr. Brian Kraft, Dr. Jamin Houser, Dr. Dana Boyd, Dr. Craig Larson 
https://youtu.be/cj0HlmIlNJU

Intro video 
https://youtu.be/v4PUJtXy_UY

TheHealthyStart.com (main site)
HealthyStartChild.com (learning center)

1-844-Kid-HealthyHealthyStart™ Ortho-Tain™ (Parent company)

  • 50 years- (anniversary at be observed the end of the year.)
  • ISO 13485
  • 3 million + children treated globally
  • 37 countries
  • Developed by Dr. Earl Bergersen, DDS, MSD, ABO
  • 514 current US and International patents
  • (Most prolific patent developer since Thomas Edison)
  • FDA approved
  • Class II Medical Device 
  • Health Canada Certified
  • NO BPAs, No Silicone, No Latex, 
  • Anti-microbial

SYMPTOMS (partial list of what happens when the airway is compromised!)

  1. Open Mouth Breathing
  2. Snoring
  3. Grinding- Bruxing
  4. Bed-wetting
  5. ADD/ADHD behaviors
  6. Chronic Allergies
  7. Nightmares
  8. Restless Sleep
  9. Academic challenges- science, math, spelling
  10. Aggression/depression
  11. Dark Circles

For more information or to arrange interviews:

CONTACT:

Kathie Turner
Marketing and Communications
832-880-3165
[email protected]

Also* At the lecture is CEO Leslie Stevens - GREAT interview!
CEO HealthyStart™
847-921-2982
[email protected]

Source: HealthyStart™️

Share:


Tags: dental, HealthyStart™️, Richmond, sleep disorder, Virginia


Related Video

Additional Images

About The HealthyStart

View Website

Healthy Start is a progressive system that improves the health and well being of children by addressing the root cause of Sleep Disorder Breathing symptoms such as ADD/ADHD, bedwetting, snoring, hyperactivity, allergies, asthma, etc

Kathie Turner
Press Contact, The HealthyStart