CTIBiotech - Transgene Collaboration for Cancer Research

CTIBioTumour: Human Tumours Produced by 3D Bioprinting to Accelerate the Development of New Cancer Therapies
CTIBioTumour

​​CTIBioTumour, a CTIBiotech technology, aims to reduce by half the time required for the preclinical evaluation of anti-cancer treatments and to save up to 20% on drug development costs.

Colon cancer or colorectal cancer is the third leading cause of cancer, with more than 1.8 million new patients diagnosed each year worldwide. Liver metastases, also known as metastatic liver cancer, are associated in about one-quarter of patients. The World Health Organization (WHO) predicts up to 12 million deaths from colorectal cancer in 2030 worldwide, with high incidence, high mortality and high costs to health care systems. The need for new drugs to treat cancer with systemic therapy is very urgent. However, the development of anti-cancer drugs is long and costly.

By signing this agreement with a "leading biotech company," CTIBiotech is helping Transgene to design tomorrow's preclinical models that will enable better cancer treatments to be developed more quickly. By combining their expertise, CTIBiotech and Transgene are jointly developing better and more predictive models of immunotherapy activity in metastatic liver cancer.

"CTIBiotech has been innovating for 10 years in tissue engineering and 3D-bioprinting for the benefit of human health. The development of drugs with human-like tumour models is essential for the next generation of cancer treatment," explains Professor Colin McGuckin, President and Chief Scientific Officer, CTIBiotech.​

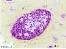
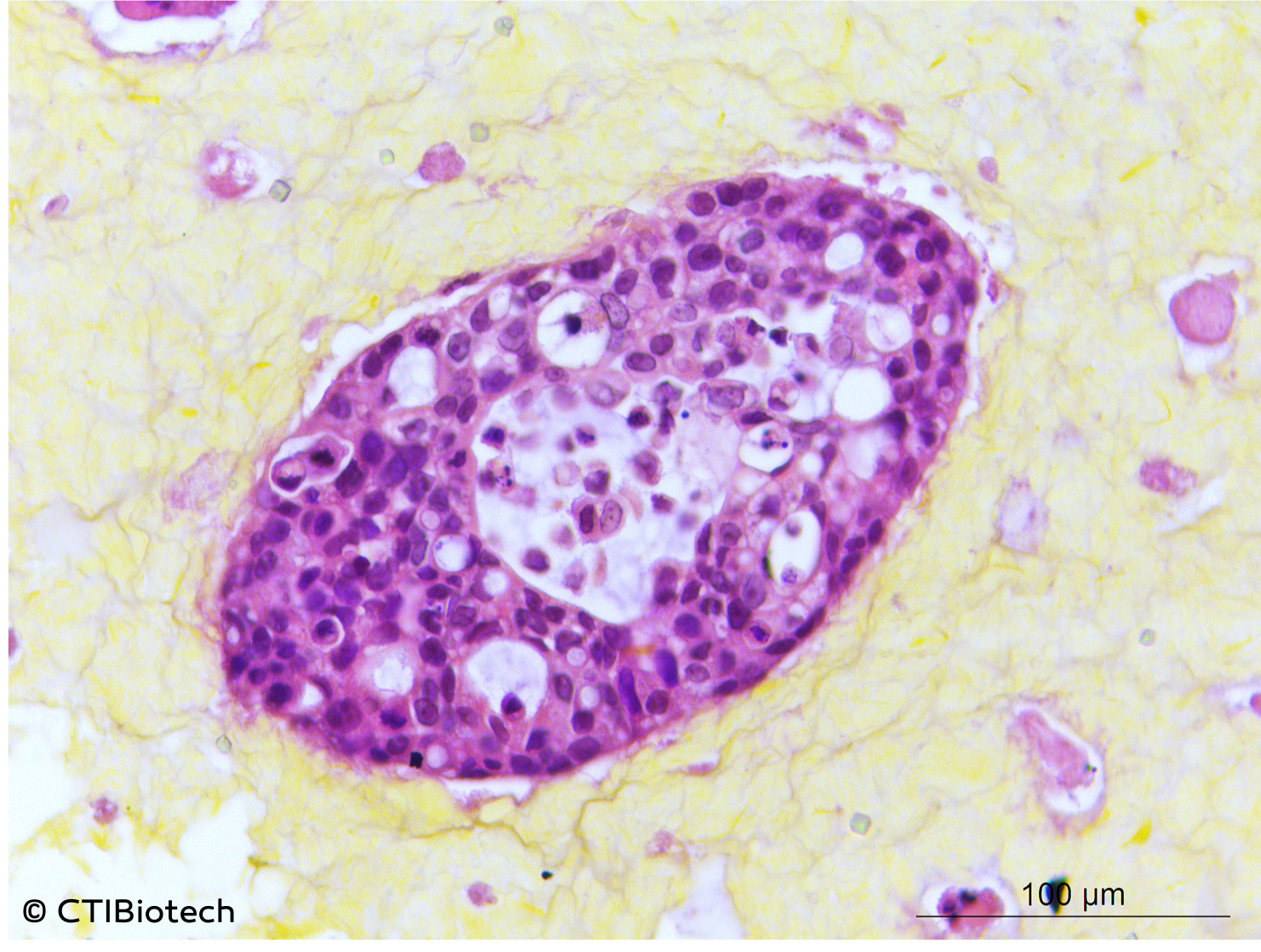
Design and production by 3D-bioprinting of preclinical models of liver metastases to accelerate cancer research

Dr. Nico Forraz, Chief Executive Officer at CTIBiotech, underlines: "With this partnership and our latest technological advances in 3D Bioprinting, CTIBiotech is strengthening its position as a key player in the design of human cellular bioassays to support pharmaceutical innovation."

CTIBiotech's aim is to reduce both the cost and time of drug development through innovation in automating the development and production process of 3D bioprinted human cancer models. These bioprinted models are representative of the patient's tumours and are, therefore, powerful tools for obtaining robust and transferable results to humans in the testing of drug candidates. In addition, these models can eventually be used to determine the most effective therapy for each patient in a personalized medicine approach.​

CTIBioTumour technology, developed by CTIBiotech, will make it possible to:

  • Reduce the time to develop a new drug by three years (the time required for the preclinical evaluation phase is reduced from six to two-three years),
  • To reduce costs in the drug development chain by 20%, representing up to €520 million in savings per drug developed,
  • To achieve a better assessment of the safety and efficacy of drug candidates,
  • To implement personalized medicine platforms to better predict a patient's response to different cancer therapies.​

New preclinical models to better evaluate the efficacy of innovative treatments. 
The development of a single drug takes an average of 15 years and costs nearly €2.6 billion to reach the commercialization stage. Two percent of the molecules tested in the preclinical phase manage to validate the clinical phase. Ninety-eight percent of candidate molecules fail due to a strong lack of predictive capacity of current technologies. Most drug candidates are tested on animals, while the European Union's 3R 2010/63/EU directive supports a reduction in such tests

CTIBioTumour accurately reproduces, in vitro, the interactions between human cancer cells and all other types of cells that form the tumour microenvironment.

A tumour is composed of both cancer cells and other supporting cells that form the tumour environment and are essential for the development of innovative drugs: cancerous fibroblasts that give structure and send beneficial signals to cancer cells, vascular cells that form vessels and provide nutrients and oxygen to the tumour, or immune cells that do not recognize cancer cells as diseased cells but could be reactivated in a therapeutic approach. These bioprinted models are representative of the tumours found in the patient and are, therefore, powerful tools for obtaining robust and transferable results to humans in drug candidate testing and for reducing the need for animal testing. These models can eventually be used to determine the most effective therapy for each patient in a personalized medicine approach.

About CTIBIOTECH Cell Therapy Research Institute

CTIBiotech develops and produces predictive models of human tissues and cells for biomedical, pharmaceutical and dermatocosmetic research and development. CTIBiotech hosts a team of world-class experts who have pioneered innovation in bioengineering and regenerative medicine over the past 30 years. 

Media contact CTIBiotech
Stéphane Berstein / +33 6 67 31 47 13 / [email protected]

Source: CTIBiotech

Share:


Tags: 3D-Bioprinting, 3D-Printing, bioassay, cancer, CTIBiotech, metastases, Oncology, tissue engineering, Transgene


About CTIBiotech

View Website

CTIBiotech
Meyzieu, Lyon / Auvergne Rhône-Alpes
France