Dr. Anthony Mobasser Discusses Viability of EMAX and Zirconia, Among Other Trends in Cosmetic Dentistry

Dr. Anthony Mobasser Logo

Los Angeles Cosmetic Dentist Dr. Anthony Mobasser, often referred to as Beverly Hills' 'Celebrity Dentist' and 'Dentist to the Stars', shared in a recent interview the latest trends in cosmetic dentistry-- particularly in advances of materials for crowns and veneers. Zirconia and EMAX (Lithium Disilicate) have quickly become a mainstay of aesthetic and restorative dentistry, but Mobasser contends there is no one-size-fits-all approach. There is a constant evolution of porcelain materials coming out for veneers and crowns, and they can be much stronger and aesthetically-pleasing than their predecessors on the market, but each have their indications and contraindications.

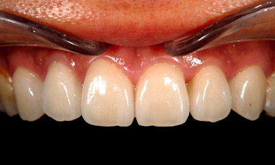
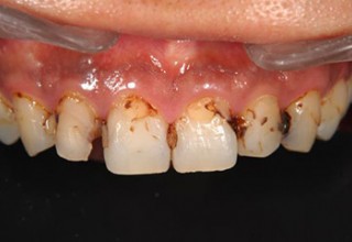
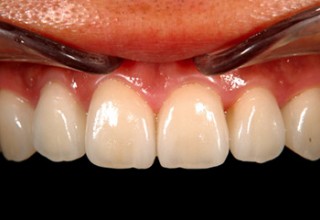
Dr. Mobasser said he often makes use of each of these competing materials for his patients, depending on his patients' aesthetic needs, their original color, the shape of their teeth, and the "bite and occlusion" of the patient he is working with. However, feldspathic porcelain veneers, which have been in use for decades, are still the "Gold Standard" in cosmetic dentistry. However, it is the most time-consuming and costly porcelain delivery system by the master ceramist. This is because it is among the most flexible porcelain material towards providing a natural color and the best aesthetic look. It also ensures minimal reduction of tooth structure during dental reconstruction. However, feldspathic porcelain is not as strong compared to EMAX or Zirconia.

Minimum intervention is the best, with maximum cosmetic dentistry while salvaging precious tooth structure.

Dr. Anthony Mobasser, Beverly Hills Cosmetic Dentist

A common pitfall, added Mobasser, is that many top cosmetic dentists leave it to their dental technicians to choose the material for patients' procedures. This can result in bad outcomes such as poor cosmetic look or not meeting patient needs.

"That's not right," said Mobasser. "The cosmetic dentist should be involved to find the right porcelain veneer or crown that looks great, feels good, and will last the rest of their lives...  The veneers look the same but the materials are different, so a good cosmetic dentist has to distinguish which ones are right for what reasons."

Mobasser, who has performed over 10,000 veneer procedures, said that he has seen many of his patients up to 30 years later who are still wearing his same porcelain veneers. He said the vast majority of them are still looking great and functioning well and beyond the expectations of his patients. According to independent studies within the dental industry, materials used such as feldspathic, EMAX and Empress veneers are durable enough to last over 15 years in a patient's mouth. But he adds that when done the right way, results often last well beyond that timeline. To date, Zirconia porcelain is used mostly for crowns and not for veneers. This is because more research is needed to bond the Zirconia porcelain as a veneer to the tooth structure. Zirconia is brighter, more opaque, and stronger compared to the more natural look of translucent porcelain which EMAX offers. Feldspathic provides the most aesthetic upside but the least amount of strength.

"Minimum intervention is the best, with maximum cosmetic dentistry while salvaging precious tooth structure," said Mobasser. "The dexterity and artistic ability of the doctor goes into effect. Don't settle for less, settle for best."

Dr. Mobasser offers complimentary cursory exams and digital imaging at his office in Beverly Hills. For more information, or to make a press inquiry, call (310) 550-0383.

Source: Dr. Anthony Mobasser, Celebrity Dentist

Share:


Tags: Anthony Mobasser, Celebrity Dentist, Cosmetic Dentist, Dental Reconstruction, EMAX, full mouth reconstruction, veneers, Zirconia


Related Video

Additional Images

About Website Depot Inc.

View Website or Media Room

Website Depot Inc. is a full-service tech firm based in Los Angeles specializing in web development and marketing. The company services a diverse and distinguished client list through various industries, business sizes and geographical locations.

Ezekiel Hernandez
Communications Director, Website Depot Inc.
Website Depot Inc.
4343 W. Sunset Blvd. (201)
Los Angeles, CA 90029
United States