IDGITAL Announces Clinical Release-Google Next19

IDGITAL

IDGITAL today announced the global, clinical release of its zero footprint, end-to-end, Radiology solution. A platform that is specifically designed by practicing Radiologists and Radiology Professionals with a proven history of market leadership.

By leveraging the latest in image streaming and cloud deployment technologies, IDGITAL provides a platform that is highly reliable and auto-scalable to ensure outstanding performance, every time.

John Hopkins, COO; “The ‘Digital Assistant Platform’ is truly the next generation RIS/PACS solution. Combining the innovative and reliable Google Cloud Platform with the most advanced Artificial Intelligence and Machine Learning assisted workflow in the market, the IDGITAL, ‘Digital Assistant Platform’ is truly poised to revolutionize the Radiology market.”

Zero footprint:

  • RIS with AI and ML driven workflow
  • PACS
  • Complete disaster recovery archive
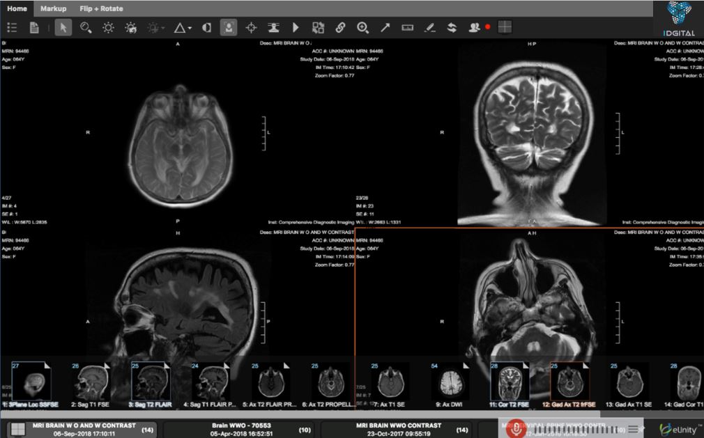
  • Industry leading, FDA Approved diagnostic viewer that supports all modalities, including mammography
  • Integrated billing backend
  • Embedded consultation on the fly. Consult with any colleague in the world with a simple internet connection
  • HIPAA compliant cloud-based datastore
  • Fax and email support
  • Mobile radiology dispatch

The IDGITAL, “Digital Assistant Platform” offers seamless integration with the leading Artificial Intelligence providers in the industry for one all-inclusive, zero footprint cost point.

Supporting complete archive disaster recovery, the platform offers a remote reading solution that provides immediate access to all prior studies as if you were reading on a local PACS.

The zero footprint, FDA approved diagnostic viewer is embedded within the Google Cloud Platform and eliminates transmission delays and the need to query/retrieve prior images. All studies are available at any time.

The proprietary AI driven workflow screens incoming images for pathology and elevates positive tagged critical studies to the top of the workflow. IDGITAL’s goal is to decrease turnaround times on positive studies, resulting in better patient outcomes. Our mission is to always assist, never replace, the physician.

Whether a large hospital system or a small imaging practice, IDGITAL offers a platform that includes and, as part of its SaaS offering, will always include the latest in imaging technology.

No need for endless CapEx expenditures and support costs on multiple platforms that become outdated after the first two years of operation. As a member of the IDGITAL community, you will always have the latest imaging technology at your fingertips. A complete end-to-end Radiology Solution without interoperability issues and for a cost that is, on average, less than the annual support spent on traditional systems.

Media Contact:
John Hopkins
Phone: 1-866-434-4825
Email: [email protected]

Source: IDGITAL

Share:


Tags: #DAP, #Google, #GoogleCloud, #GoogleVoice, #Healthcare, #IDgital, #RadiologySolution, #software


Additional Images

Additional Links

About IDGITAL

View Website

Your Patients Are Our Top Priority!
Placing the best technology in the hands of the most skilled physicians is our driving goal. Continuous development and re-investment in our technology is our strategy.