Indica Labs Releases Advanced Software for Metabolic Research

Indica Labs announces the official release of its advanced histology analysis software for diabetes and metabolic research

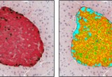
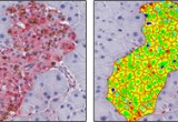
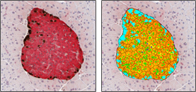
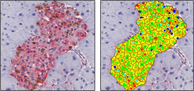
Indica Labs, Inc. announces the official release of its advanced histology analysis software for metabolic research. Developed in collaboration with two major pharmaceutical companies, the computer software algorithms provide diabetes and metabolic researchers with quantitative data relating to pancreatic islets, alpha cells, beta cells, delta cells, and other islet cell types. Using the new tool, pathologists and pharmacologists can automate the otherwise laborious tasks of counting and measuring individual islets, or counting and classifying islet cells.

Not only does the software improve efficiency, it also provides additional quantitative data that is otherwise unattainable by manual assessment. It measures a wide variety of immunohistochemical positivity in islet cells, including nuclear positivity, cytoplasmic positivity, proliferation indices, and more. The tool also generates histograms representing the islet size distribution allowing researchers to measure and quantify the number of small budding islets, and assess the cellular makeup of those islets.

Indica Labs, CEO Steven Hashagen stated:
"We are thrilled to announce the release of our pancreatic tissue analysis software. This software has already proven to automate many of the laborious tasks involved with metabolic research at several large pharmaceutical companies and the feedback we've received from the initial users has been tremendously positive. Needless to say, we are delighted that our products can contribute to the important fields of diabetes and metabolic research."

This software is just one of a long list of tools being developed by Indica Labs that are focused on organ-specific or disease-specific applications including a wide variety of tumor types, adipose tissue, muscle fiber, hepatic steatosis, pancreas, and many more. All Indica software can be used on individual images captured using a traditional microscope or on larger full specimen images that have been captured using leading whole-slide scanning instruments. For more information about this product, visit http://indicalab.com/product-islet.html, or contact [email protected] to schedule a complementary demonstration.

Share:


Tags: aperio, Diabetes, Digital Pathology, Image Analysis, Islet, Matabolic, obesity, Pancreas, pathology, slidepath, tox pathology, toxicologic pathology


Additional Images

Additional Links

About Indica Labs

View Website

Steven Hashagen
Press Contact, Indica Labs
Indica Labs
274 Calle Conejo
Suite B
87048
United States