Indica Labs Unveil Groundbreaking IHC Quantification Algorithm at Pathology Visions

Indica Labs Unveil Groundbreaking IHC Quantification Algorithm at Pathology Visions

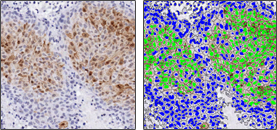
Indica Labs, Inc. will be unveiling a groundbreaking IHC quantification package at the 2011 Pathology Visions conference being held next week in San Diego. The software represents the first of its kind for performing highly advanced automated immunohistochemistry (IHC) quantification of whole-slide images.

The new algorithm developed in collaboration with top US pharmaceutical companies, is highly configurable and can be used for a wide range of IHC applications. It measures positivity of individual or multiple IHC stains on a single slide and the positivity for each stain is calculated on a per-cell basis where each cell is identified and classified as positive for antibody A, antibody B, both A and B, or neutral. Furthermore, the software indicates the localization of IHC positivity as either nuclear, cytoplasmic, or both. By using this algorithm, researchers have been able to improve efficiency and accuracy by eliminating manual cell counting and subjective IHC assessment. In addition the algorithm generates vast amounts of additional quantitative data that is otherwise unattainable by manual assessment.

Indica Labs, CEO Steven Hashagen stated:

"There are many IHC quantification tools on the market today but none of them combine the rich set of features that set apart the Indica IHC package. By combining whole slide quantification, multi-stain analysis, per-cell scoring, and localized nuclear vs. cytoplasmic quantification, we have designed the most complete IHC package presently available. This tool is already proving itself an asset among pharmaceutical companies where high-throughput, and highly detailed, quantitative image analysis results have become an essential part of translational research."

The Indica Labs IHC quantification package will be showcased at the Pathology Visions conference in San Diego October 31st until November 2nd. All attendees are encouraged to visit the Indica Labs booth (#319) for an in-depth product demonstration. For more information about this product or any other products, you may also visit their website at http://indicalab.com/products.html, or contact [email protected] to schedule a complementary demonstration.

Share:


Tags: Cytoplasm, Diabetes, Digital Pathology, IHC, image anal, Islet, Matabolic, Nucleus, obesity, Pancreas, pathology, tox pathology, toxicologic pathology


Additional Images

About Indica Labs

View Website

Steven Hashagen
Press Contact, Indica Labs
Indica Labs
274 Calle Conejo
Suite B
87048
United States