MedWaves AveCure® Microwave Ablation System Used to Successfully Treat Recurrent Brain Tumor Following Five Micro-Surgeries and Full Regiment of Radiation Therapy

MedWaves AveCure microwave ablation system as an adjuvant surgical tool to bring new hope to the brain tumor patients and their families
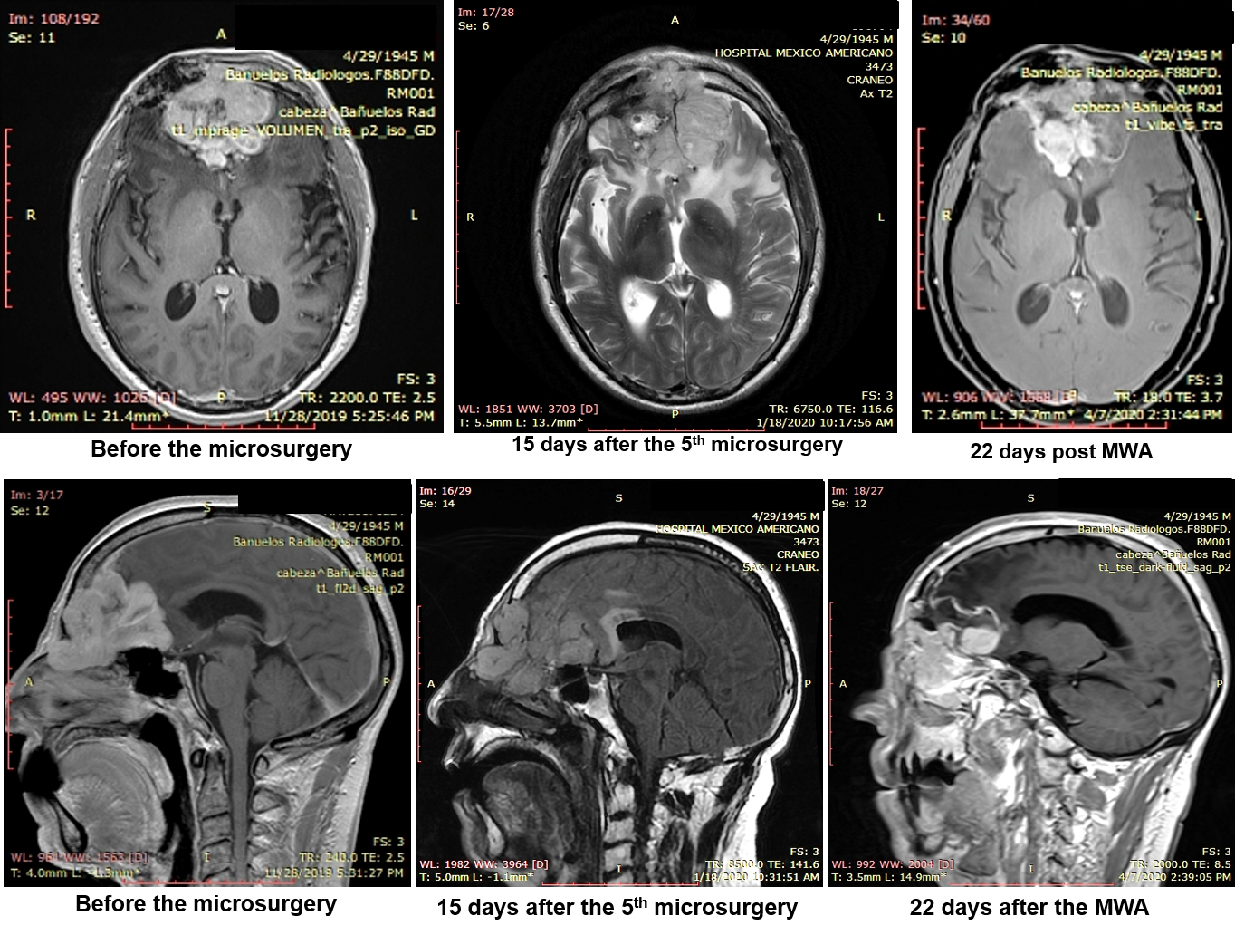
Malignant meningioma microwave ablation therapy

Doctor Santana, a neurosurgeon and his fellows at a major hospital in Guadalajara, Mexico has successfully treated a patient with recurrent malignant meningioma with microwave ablation. The patient had previously failed five (5) surgeries and full dosage of radiation.

Following the failure of the 5th surgical attempt and 30 days in the hospital, microwave ablation (MWA) system developed MedWaves, Inc., San Diego, CA was used to treat the patient. The patient was discharged from the hospital on the 8th day following the MWA with Karnofsky score of 90, which means; he can carry out normal activity with minor symptoms. The magnetic resonance imaging prior to discharge showed significant tumor volume reduction resulting from the MWA. The patient continues to improve and currently being considered for additional intervention with MWA to remove nasal obstruction and pain in the eyes.

MedWaves, Inc is a privately held company with headquarter and manufacturing in San Diego, CA. www.medwaves.com, [email protected],

Mobile: 760-807-1000

Source: MedWaves, Inc.

Share:


Tags: Brain Tumor, MedWaves, Microwave Ablation Therapy, neurosurgery


About MedWaves, Inc.

View Website

MedWaves in a medical device company develops, manufactures and distributes proprietary microwave energy-based products for treatment of soft tissue abnormalities such as, tumors, cysts, infections, etc. throughout the human body.

Theodore Ormsby
President/CEO, MedWaves, Inc.
MedWaves, Inc.
16760 W Bernardo Drive
San Diege, CA 92129
United States