Study: MRI is Useful for Diagnosing Pediatric Acute Appendicitis and Reduces Radiation Exposure

Sharp and Children's MRI Center (SCMRI) has continued their work eliminating harmful exposure of children to ionizing radiation by using MRI to diagnose acute appendicitis.

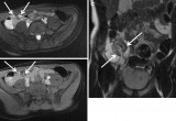
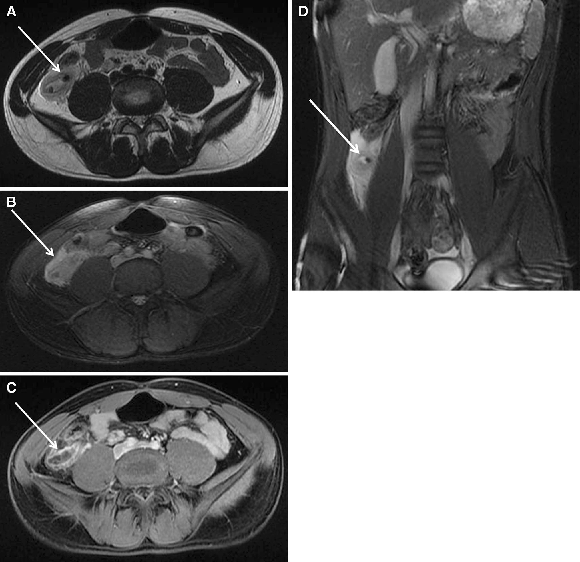
Sharp and Children's MRI Center (SCMRI) has continued their work eliminating harmful exposure of children to ionizing radiation by using MRI to diagnose acute appendicitis. Investigators there have shown in a recent publication in Abdominal Imaging that MRI is accurate in children with very early symptoms of abdominal pain. This is an extremely important finding as ultrasound, the main first-line imaging technology competing with MRI at children's hospitals across the nation, has been previously shown to be inaccurate for appendicitis in children with early symptoms of abdominal pain. This can potentially lead to delays in both diagnosis and treatment or even missed diagnoses, putting children's health at risk.

A previous study from Sharp and Children's MRI Center was published in Pediatric Radiology earlier this year demonstrating the high accuracy of their MRI protocol for diagnosing acute appendicitis, the most common cause of emergent surgery in the pediatric population. According to study co-author and San Diego Imaging Radiologist at Rady Children’s Hospital, Dr. John Naheedy, “The findings from this study have potential to change the global standard of diagnosing appendicitis in children.”

We have shown that children are able to undergo MRI in an efficient manner from the emergency room and they tolerate the examination. This new imaging evaluation protocol has significantly decreased radiation exposure in children and placed our institution at the forefront of pediatric imaging and emergency care.

- - Jeffrey L. Koning, MD

Presently, the majority of institutions in the United States use a combination of computed tomography (CT, commonly known as CAT scan) or ultrasound as a means to diagnose appendicitis in children. This practice needs a new approach because recent studies have shown that children exposed to multiple CT scans are more likely to develop cancer later in life. In November 2012, Sharp and Children’s MRI Center replaced CT with MRI for diagnosing children presenting with symptoms typical of appendicitis.

Together, these studies show that MRI is a suitable alternative that uses no radiation.  "We are very excited to publish our experience with MRI in evaluating children presenting to the emergency room with acute abdominal pain,” said Jeffrey L. Koning, MD, lead study author and radiology resident at the University of California, San Diego.

The new study concluded that contrast-enhanced MRI is capable of providing accurate diagnosis of acute appendicitis in children with early symptoms of abdominal pain. MRI is shown to be an effective substitute to CT and ultrasound and provides additional diagnostic information that they may not provide.

About Sharp and Children’s MRI Center

Founded in 1986, Sharp and Children’s MRI Center, LLC is a joint venture owned by Sharp Memorial Hospital, Rady Children’s Hospital, and San Diego Imaging Medical Group (SDIMG). Their mission is to provide high quality, comprehensive magnetic resonance imaging for adults and children using advanced imaging technologies. They are located on the campus of Sharp Memorial Hospital at 7901 Frost St., Rady Children’s Hospital at 3020 Children’s Way, and Physician’s Medical Center at 7910 Frost St., are all accredited by the American College of Radiology.

Contact Us

Phone: 858-939-4550

Email: [email protected]

Website: www.scmri.org

###

Share:


Tags: Abdominal Imaging, Diagnosing Appendicitis, MRI, Pediatric Medicine


Additional Images

About Sharp and Children's MRI Center LLC

View Website

Perry Patterson
Press Contact, Sharp and Children's MRI Center LLC
Sharp and Children's MRI Center LLC
7901 Frost Street
San Diego, CA 92123
United States